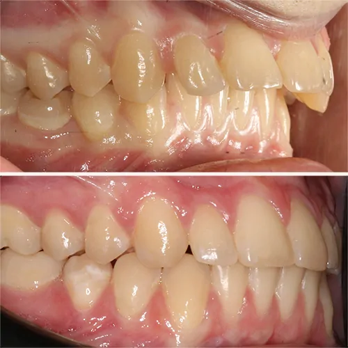
Előre álló fogak

„Az egyik legnehezebb dolog volt, amit át kellett gondolnom, de soha nem fogom megbánni, mert az eredmény teljesen magáért beszél. Hálás vagyok az egész fogszabályozási stúdió személyzetének a munkájáért és kedvességéért, amit felém nyújtottak. Sokkal nagyobb önbizalommal beszélek és mosolygok. 🙂

5 414 Google értékelés alapján

1072 Budapest, Rákóczi út 4. IV. emelet (32-es kapucsengő)