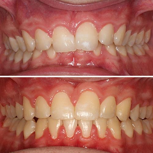
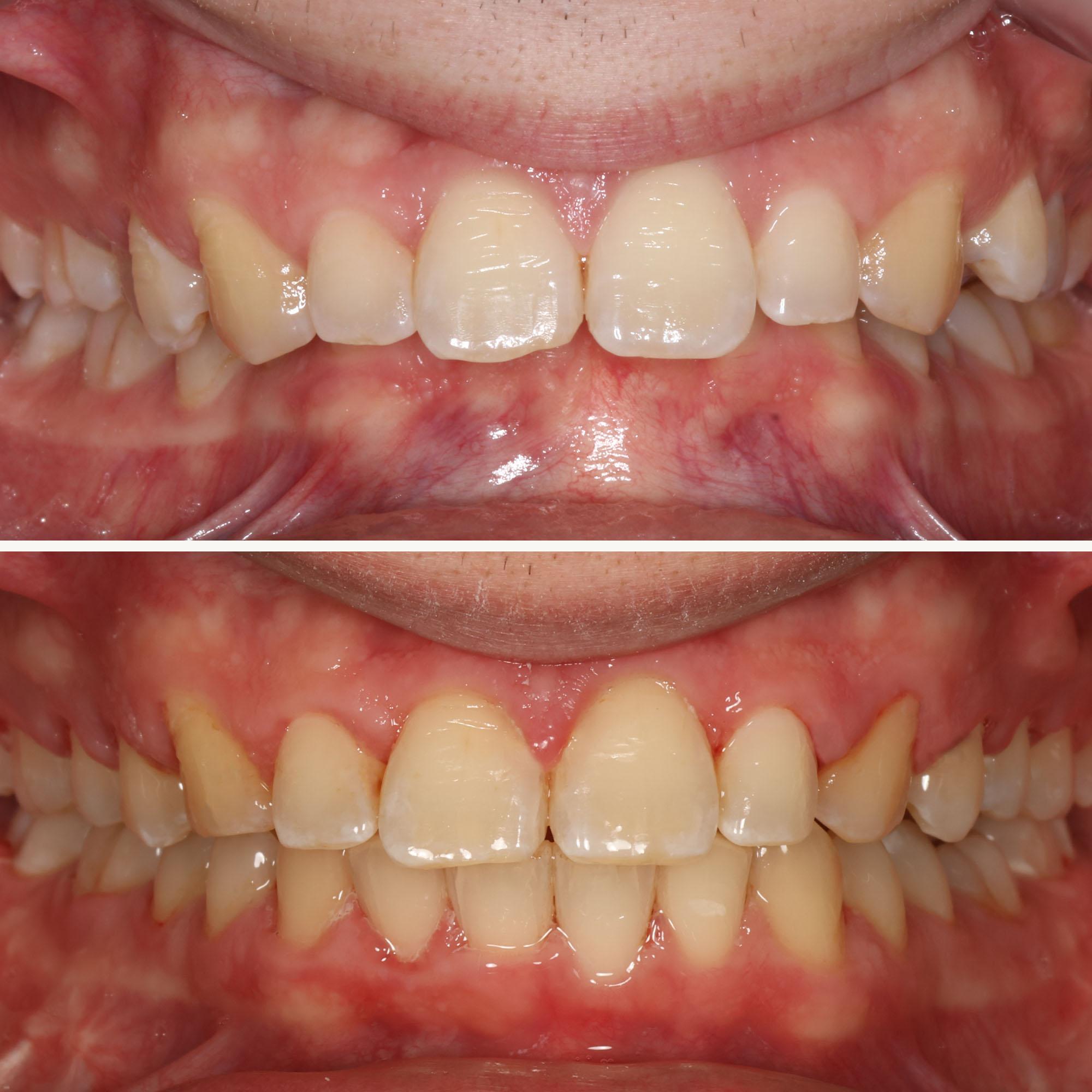
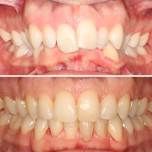
Mélyharapás

5 414 Google értékelés alapján

1072 Budapest, Rákóczi út 4. IV. emelet (32-es kapucsengő)