aaaa

Előre álló fogak

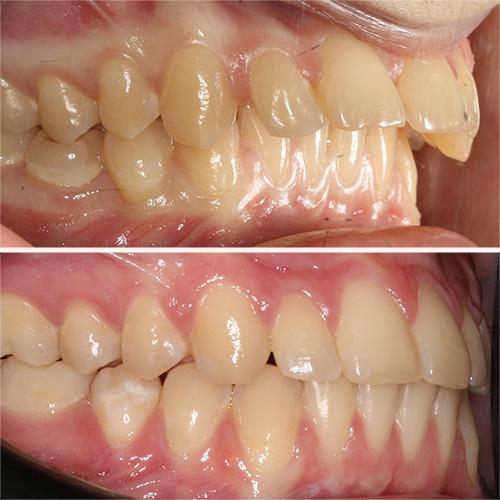
A túlzottan előre álló fogak a harapási rendellenességek egyik leglátványosabb formáját képviselik, és szinte minden korosztályt érinthetnek. A felső fogak feltűnően az alsók elé harapva megnehezítik, vagy adott esetben teljesen megakadályozzák, hogy megfelelően összezárjuk a fogainkat.
Mi okozza az előre álló fogakat?
Az előre álló metszőfogak kialakulása mögött többféle ok húzódhat meg. A leggyakoribb tényezők közé tartozik az öröklött állcsont- és fogméret-eltérés, amikor például a felső állcsont túlfejlett vagy az alsó állcsont alulfejlett. Gyermekkori szokások – mint az ujjszopás, a nyelvlökéses nyelés vagy a hosszan tartó cumihasználat – szintén előidézhetik a felső metszőfogak előreállását.
Mikor kell elkezdeni a kezelést?
Bár minden eset egyedi, általánosságban elmondható, hogy az előre álló fogakat érdemes már gyermekkorban felismerni és szükség esetén kezelni. Az első fogszabályozási konzultációt ajánlott 7 éves kor körül elvégezni – ekkor a legtöbb eltérés már korán felismerhető, és lehetőség nyílik a növekedés irányítására. Ebben a korban használhatunk kivehető készülékeket, egyes esetekben akár elkerülhető ezzel a rögzített fogszabályozó viselése.
Miért fontos kezelni minél előbb az ilyen eseteket?
Az előre álló felső metszőfogak nem csupán esztétikai problémát jelentenek – komolyabb funkcionális és egészségügyi következményeik is lehetnek. Jelentősen sérülékenyebbek sportolás, esés vagy baleset során, gyakran harapási rendellenességgel (pl. nyitott harapás) társulnak, ami nehezítheti a rágást, és befolyásolhatja a hangképzést is. A látványosan előreálló fogak miatt a gyermek könnyen csúfolódás célpontjává válhat, ami önbizalomvesztéshez, szorongáshoz és visszahúzódó viselkedéshez vezethet.

Foglaljon időpontot most!

Ha hasonló problémával kűzd, jöjjön el hozzánk egy konzultációra, ahol szakorvosunk részletesen kivizsgálja helyzetét! A diagnózis felállítását követően személyre szabott kezelési tervet készítünk Önnek!

Időpontot foglalok!

Ismerje meg munkafolyamatainkat
Borbély Fogászat csapatmegbeszélés

Ezt tesszük a közös siker érdekében!

Részletfizetési lehetőség

A Dr. Borbély Fogszabályozási Stúdióban szeretnénk minél többek számára elérhetővé tenni azt a változást, melyet a pácienseink a kezelés hatására megélhetnek. A felszabadult mosoly ne legyen pénz kérdése! Ezért szokatlanul alacsony havi törlesztőrészlet mellett igyekszünk biztosítani kezeléseinket. A kezelés első évében havi 90-130 ezer forint fizetendő, ami a készülék és az állítások árát is tartalmazza. Ezt követően alkalmanként 45 ezer forintos költséggel kell számolni. Egyszerű kezeléseknél ennél is alacsonyabb költségre számíthat. A kezelés megtervezését követően pontos árajánlatot adunk, hogy a kiadások Ön számára jól tervezhetőek legyenek.

Tekintse meg árainkat!

5 414 Google értékelés alapján

1072 Budapest, Rákóczi út 4. IV. emelet (32-es kapucsengő)