aaaa

Mélyharapás

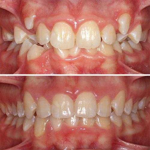
Ha a felső fogunk a normálisnál nagyobb mértékben takarja az alsó fogazatunkat, akkor mélyharapásról beszélünk. Ez nem csak egy esztétikai probléma, hisz kialakulásának oka az, hogy valahol a rágó fogainknál a felső és alsó fogak viszonya egymáshoz nem megfelelő, rosszul harapunk össze.

Mi az a mélyharapás?


A mélyharapás akkor alakul ki, amikor a felső fogak túlságosan átfedik az alsó fogakat, akár a fogak egy részét vagy nagy részét eltakarva. Ez nem csak esztétikai probléma, hanem hosszú távon ínyproblémákat, fogkopást, állkapocsízületi panaszokat és akár fejfájást is okozhat.

Miért alakul ki a mélyharapás?


A mélyharapás kialakulásának több oka lehet. Gyakran genetikai adottság, de szerepet játszhat a fogak és az állcsont aránytalansága, vagy korai tejfog-elvesztés is. Felnőttkorban a fogak kopása, hiánya vagy a nem kezelt fogszabályozási problémák is hozzájárulhatnak a mélyharapás kialakulásához.

Miért fontos kezelni a mélyharapást?


A mélyharapás hosszú távon több problémát okozhat. A felső fogak folyamatosan érintkeznek az alsó fogak ínyével, ami ínygyulladást és fogágy-problémákat okozhat. Emellett a fogak kopása gyorsabbá válik, a rágás nem optimális, és az állkapocsízület túlterhelődhet, ami fejfájáshoz vagy állkapocsfájdalomhoz vezethet. A kezelés tehát nemcsak esztétikai kérdés, hanem az egészséges mosoly és a stabil harapás érdekében is fontos.

Mikor érdemes időben kezelni a mélyharapást?


A mélyharapás kezelését érdemes gyermekkorban, a vegyes fogazat idején elkezdeni, általában 7–10 éves kor körül, amikor a készülékek hatékonyan tudják korrigálni a fogak helyzetét, és csökkenthetők a későbbi komplikációk. Felnőttkorban is lehetséges a kezelés, de ilyenkor gyakran hosszabb időre és kiegészítő eljárásokra lehet szükség a kívánt végeredményhez.

Foglaljon időpontot most!

Ha hasonló problémával kűzd, jöjjön el hozzánk egy konzultációra, ahol szakorvosunk részletesen kivizsgálja helyzetét! A diagnózis felállítását követően személyre szabott kezelési tervet készítünk Önnek!

Időpontot foglalok!

Ismerje meg munkafolyamatainkat
Borbély Fogászat csapatmegbeszélés

Ezt tesszük a közös siker érdekében!

Részletfizetési lehetőség

A Dr. Borbély Fogszabályozási Stúdióban szeretnénk minél többek számára elérhetővé tenni azt a változást, melyet a pácienseink a kezelés hatására megélhetnek. A felszabadult mosoly ne legyen pénz kérdése! Ezért szokatlanul alacsony havi törlesztőrészlet mellett igyekszünk biztosítani kezeléseinket. A kezelés első évében havi 90-130 ezer forint fizetendő, ami a készülék és az állítások árát is tartalmazza. Ezt követően alkalmanként 45 ezer forintos költséggel kell számolni. Egyszerű kezeléseknél ennél is alacsonyabb költségre számíthat. A kezelés megtervezését követően pontos árajánlatot adunk, hogy a kiadások Ön számára jól tervezhetőek legyenek.

Tekintse meg árainkat!

5 460 Google értékelés alapján

1072 Budapest, Rákóczi út 4. IV. emelet (32-es kapucsengő)