aaaa

Nyitott harapás

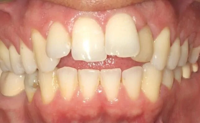
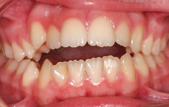
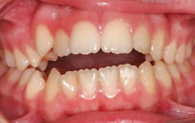
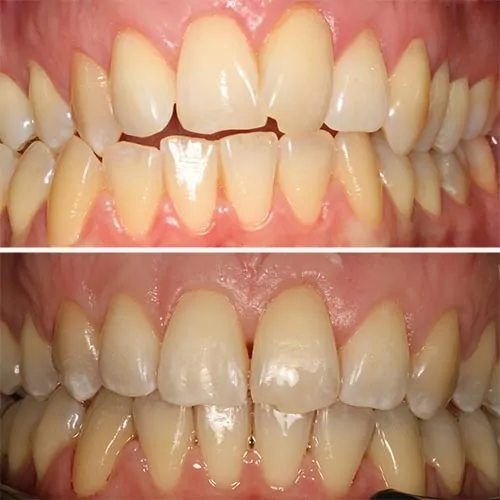
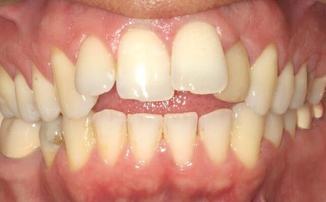
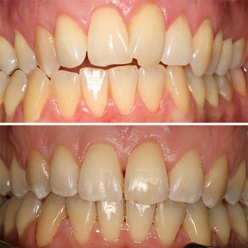
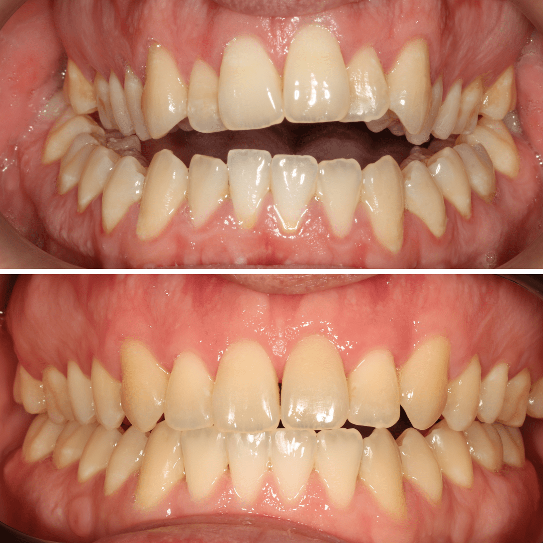
Nyitott harapásról akkor beszélünk, ha a felső fogívünk nem záródik megfelelően az alsóval. Bár mindkettő egy síkban van (tehát nem harapunk előre és bulldogharapásunk nincs), mégis egy ív mentén lyuk keletkezik a két fogívünk között.
Nyitott harapás – Mit kell tudni róla?
A nyitott harapás egy gyakori harapási rendellenesség, amelynél az elülső vagy oldalsó fogak nem érnek össze záráskor – rés marad a két fogív között. Ez nemcsak esztétikai problémát okozhat, hanem rágási, beszédtechnikai és állkapocs-ízületi gondokat is.
Mitől alakul ki nyitott harapás?
A nyitott harapás kialakulása mögött többféle tényező állhat. A leggyakoribb okok közé tartoznak a gyermekkori szokások, például a hosszan tartó ujjszopás, cumizás, nyelvlökéses nyelés vagy a ceruzarágás. Ezek a viselkedésformák mechanikai akadályt képeznek az elülső fogak záródása előtt, megakadályozva a megfelelő harapási érintkezést. Emellett genetikai hajlam is szerepet játszhat. Fontos tényező a nyelv helytelen pozíciója – ha a nyelv nyeléskor előretolódik, az hosszú távon eltartja egymástól a felső és alsó fogívet. Végül, de nem utolsósorban, a tartós szájlégzés vagy krónikus orrdugulás – például allergia miatt – szintén hozzájárulhat a rendellenesség kialakulásához, különösen növekedésben lévő gyermekek esetében.
Mikor kell kezelni a nyitott harapást?
Minél korábban, annál jobb. Már gyermekkori állapotfelmérés során felismerhető az eltérés. Ha idejében beavatkozunk, még a növekedés aktív szakaszában befolyásolni tudjuk az állcsontfejlődést. Későbbi életkorban a kezelés bonyolultabb és hosszabb lehet – súlyosabb esetekben akár sebészi beavatkozásra is szükség lehet.
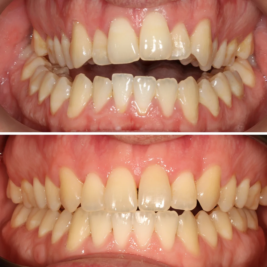
Hogyan lehet kezelni a nyitott harapást?
A nyitott harapás kezelése mindig az adott eset egyéni jellemzőitől – elsősorban a rendellenesség súlyosságától, az életkortól és a kiváltó okoktól – függ. Gyermekkorban általában még lehetőség van a növekedés irányítására és a káros szokások időben történő megszüntetésére. Ilyenkor kivehető készülékeket alkalmazunk, amelyek segítenek korrigálni az ujjszopásból, nyelvlökésből vagy egyéb rossz szokásokból eredő eltéréseket. Emellett funkciós készülékekkel befolyásolható az állcsontnövekedés. Serdülő- és felnőttkorban az esetek többségében rögzített fogszabályozó készülék alkalmazása szükséges a fogívek és a harapás zárásához. Amennyiben a nyitott harapás hátterében súlyosabb csontozati eltérés áll, a kezelés kombinált ortodontiai és állcsontsebészeti kezelést igényelhet, amelynek során a fogszabályozás mellett műtéti beavatkozás is szükségessé válik a harapás megfelelő helyreállításához.

Foglaljon időpontot most!

Ha hasonló problémával kűzd, jöjjön el hozzánk egy konzultációra, ahol szakorvosunk részletesen kivizsgálja helyzetét! A diagnózis felállítását követően személyre szabott kezelési tervet készítünk Önnek!

Időpontot foglalok!

Ismerje meg munkafolyamatainkat
Borbély Fogászat csapatmegbeszélés

Ezt tesszük a közös siker érdekében!

Részletfizetési lehetőség

A Dr. Borbély Fogszabályozási Stúdióban szeretnénk minél többek számára elérhetővé tenni azt a változást, melyet a pácienseink a kezelés hatására megélhetnek. A felszabadult mosoly ne legyen pénz kérdése! Ezért szokatlanul alacsony havi törlesztőrészlet mellett igyekszünk biztosítani kezeléseinket. A kezelés első évében havi 90-130 ezer forint fizetendő, ami a készülék és az állítások árát is tartalmazza. Ezt követően alkalmanként 45 ezer forintos költséggel kell számolni. Egyszerű kezeléseknél ennél is alacsonyabb költségre számíthat. A kezelés megtervezését követően pontos árajánlatot adunk, hogy a kiadások Ön számára jól tervezhetőek legyenek.

Tekintse meg árainkat!

5 460 Google értékelés alapján

1072 Budapest, Rákóczi út 4. IV. emelet (32-es kapucsengő)