aaaa

Torlódás

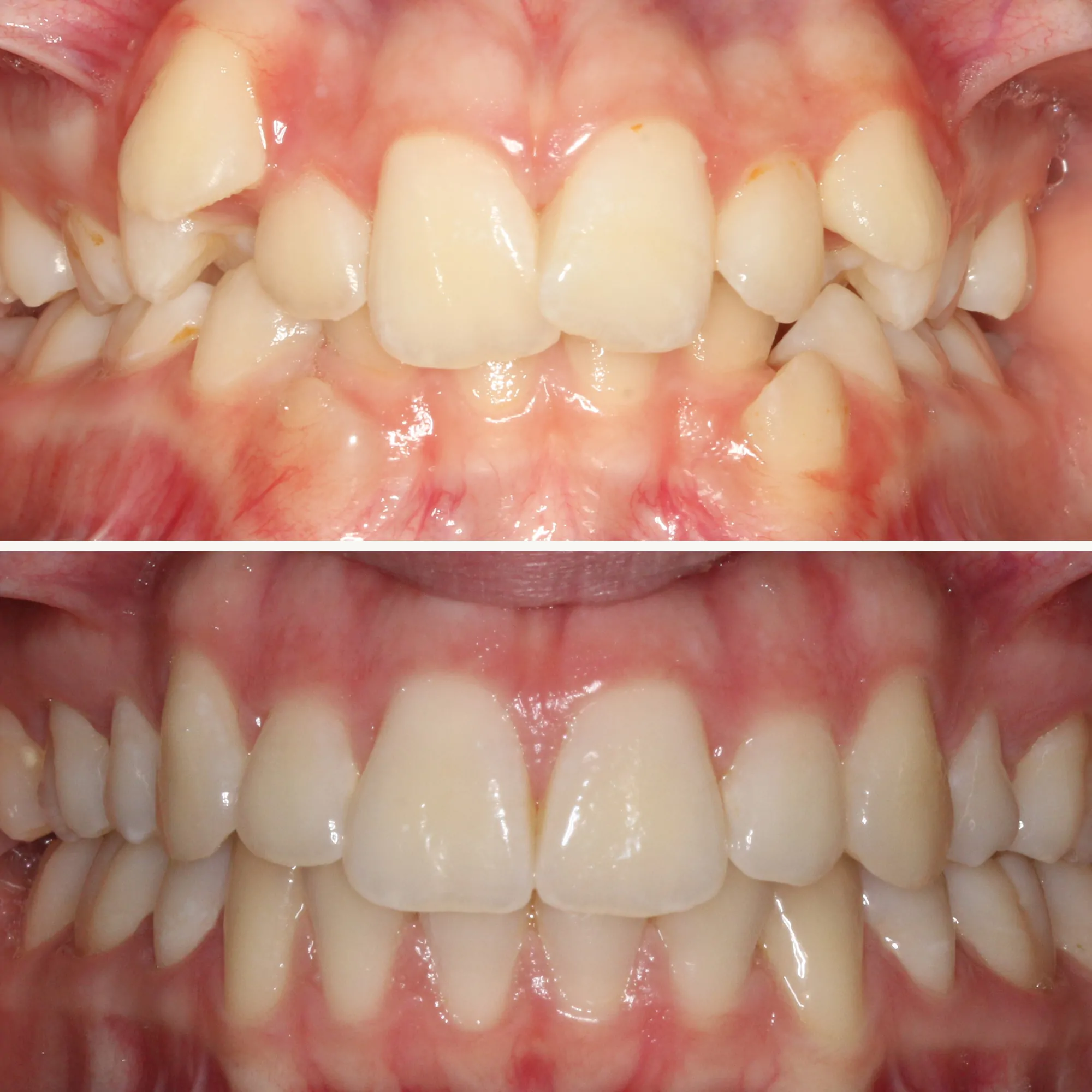
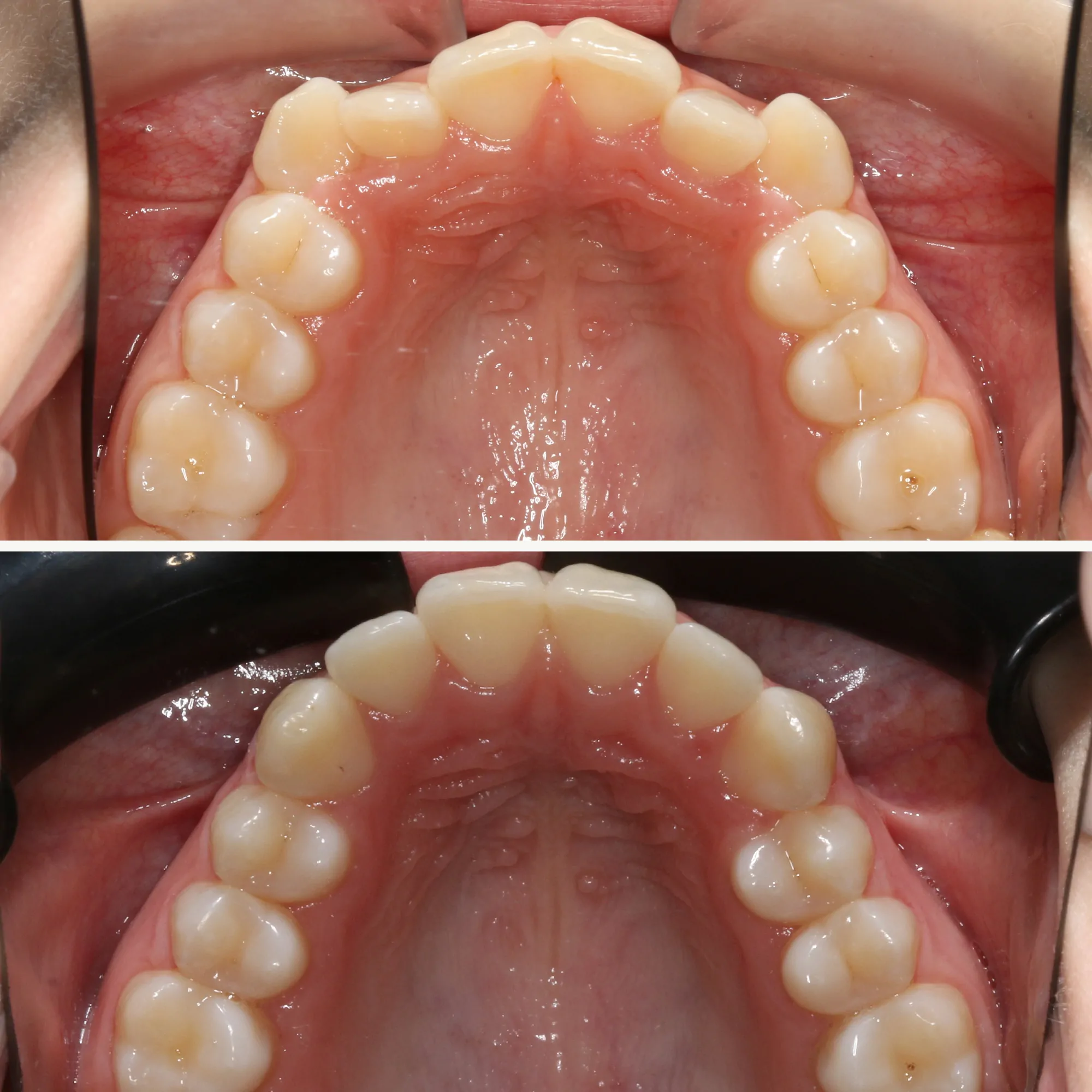
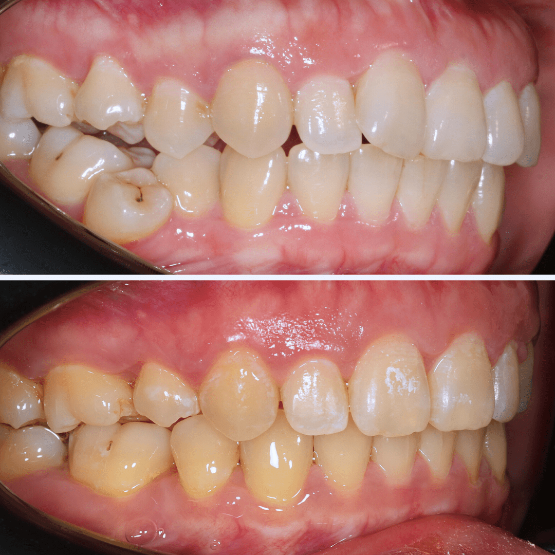
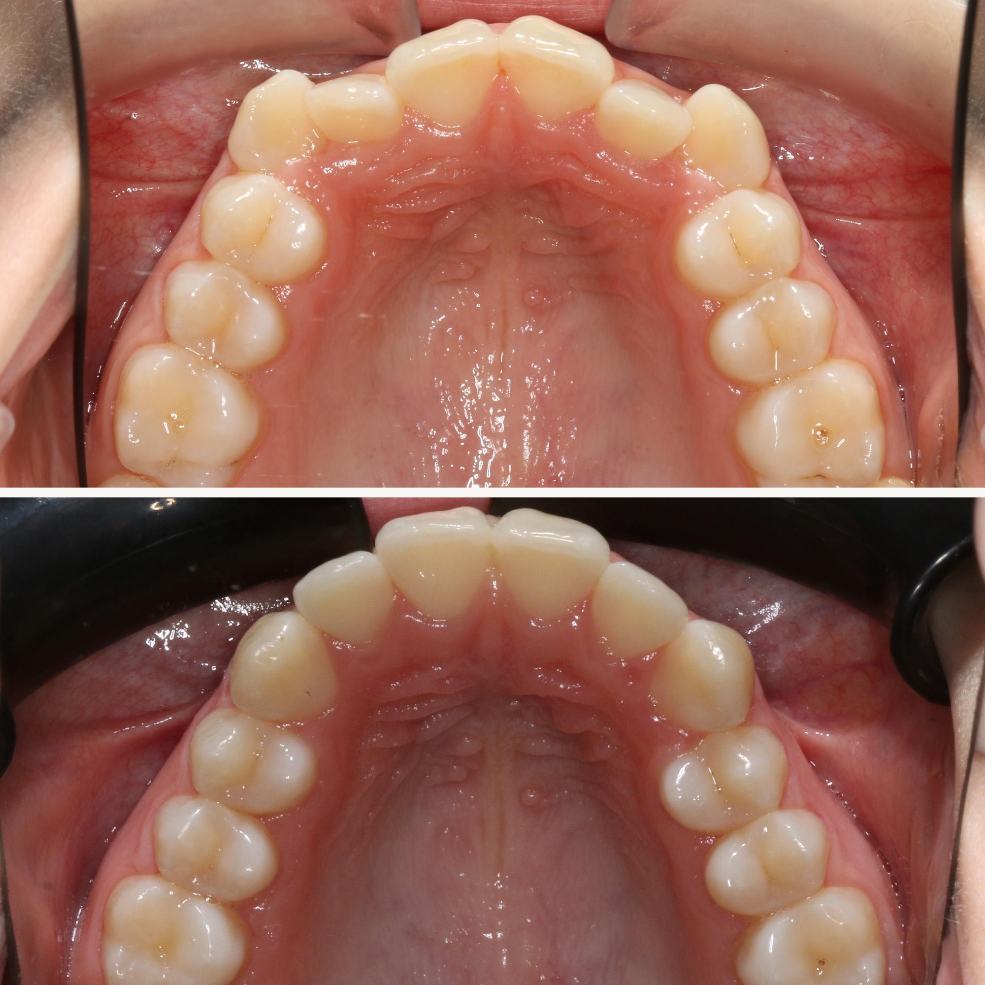
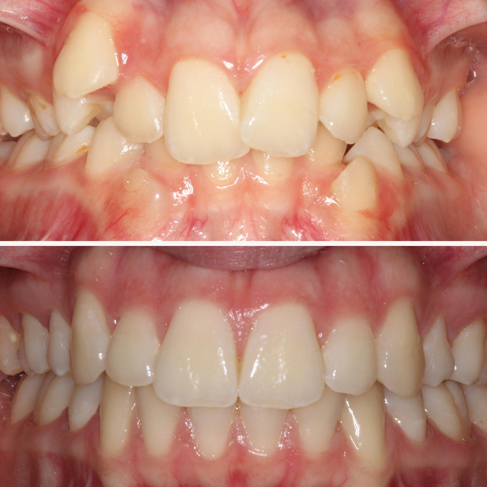
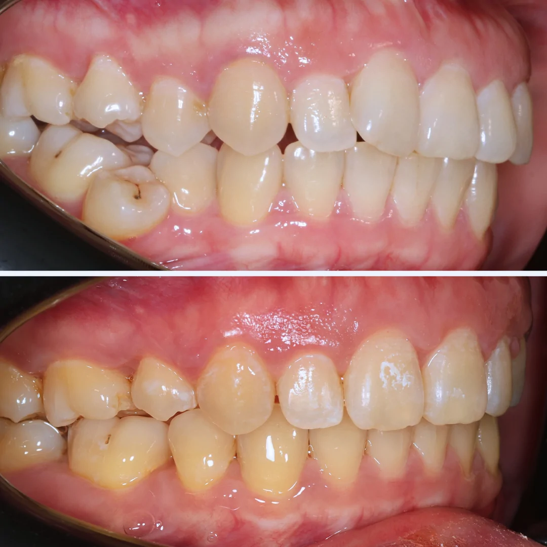
Ha nincs elég hely a fogak számára a szánkban ahhoz, hogy egy sorban törjenek át, összezsúfolódnak, egymásra dőlnek, vagy több síkban helyezkednek el. Ez a fogtorlódás ráadásul idővel rendszerint súlyosbodik.

Mi az a fogtorlódás?


A torlódás azt jelenti, hogy a fogak nem férnek el megfelelően az állcsontban, ezért elfordulnak, egymásra csúsznak vagy rendezetlenül állnak. Ez nemcsak esztétikai problémát okozhat, hanem a tisztítás is nehezebbé válik, ami hosszú távon fogszuvasodáshoz és ínygyulladáshoz vezethet.

Miért alakul ki a torlódás?


A torlódás kialakulásának több oka is lehet. Sok esetben genetikai hajlam áll a háttérben: ha a családban előfordult,  nagyobb eséllyel jelentkezik. Gyakori az is, hogy a fogak mérete nem arányos az állcsonttal – ha a fogak nagyobbak, mint amennyi hely rendelkezésre áll, azok elmozdulnak.
Gyermekkori szokások, mint az ujjszopás, a hosszan tartó cumizás, a nyelvlökéses nyelés vagy a szájon át történő légzés szintén befolyásolhatják a fogív fejlődését. Emellett a korai tejfog-elvesztés is okozhat torlódást, mivel ilyenkor a szomszédos fogak elmozdulhatnak, és elveszik a helyet a maradó fog elől.

Megelőzhető torlódás kialakulása?


Bizonyos esetekben igen. A rendszeres gyermekfogászati ellenőrzések segítenek abban, hogy időben felismerjük a fejlődési eltéréseket. Ha szükséges, korai, kivehető fogszabályozó készülékkel segíthetjük a fogak megfelelő helyzetbe kerülését és az állcsont harmonikus növekedését.
A rossz szokások, például a hosszan tartó cumizás vagy ujjszopás elhagyása szintén kulcsfontosságú. Ezek apró lépéseknek tűnhetnek, de hosszú távon komoly problémáktól kímélhetik meg a gyermeket.

Hogyan kezelhető a torlódás?


A torlódás kezelése mindig egyéni tervezést igényel. Enyhébb esetekben elegendő lehet egy kivehető készülék, főleg gyermekkorban, amikor az állcsont még növekedésben van, vagy láthatatlan alignerekkel felnőttkorban. Komolyabb torlódásoknál rögzített fogszabályozó készülékkel érhető el a legjobb eredmény.
A kezelés célja nem csupán a fogak „sorba rendezése”, hanem a megfelelő harapás, az egészséges íny és a harmonikus arcforma helyreállítása is.

Kell-e fogat húzni torlódás esetén, és miért nem kell ettől tartani?


Nagyobb fokú torlódás esetén előfordulhat, hogy csak fogeltávolítással lehet elegendő helyet biztosítani a fogak rendezett elhelyezkedéséhez. Ilyenkor a foghúzás nem ártalmas, hanem épp a harmonikus és stabil eredmény feltétele. A beavatkozás teljesen fájdalommentes, kíméletes és biztonságos, a döntés pedig minden esetben alapos tervezésen alapul.
Fontos tudni, hogy megfelelően kiválasztott esetben a foghúzás nem rontja el az arc formáját – sőt, ha valakinek kissé konvex az arca (azaz előreállóbb a profil), a kezelés kifejezetten előnyösen formálhatja az arcvonásokat.

Foglaljon időpontot most!

Ha hasonló problémával kűzd, jöjjön el hozzánk egy konzultációra, ahol szakorvosunk részletesen kivizsgálja helyzetét! A diagnózis felállítását követően személyre szabott kezelési tervet készítünk Önnek!

Időpontot foglalok!

Ismerje meg munkafolyamatainkat
Borbély Fogászat csapatmegbeszélés

Ezt tesszük a közös siker érdekében!

Részletfizetési lehetőség

A Dr. Borbély Fogszabályozási Stúdióban szeretnénk minél többek számára elérhetővé tenni azt a változást, melyet a pácienseink a kezelés hatására megélhetnek. A felszabadult mosoly ne legyen pénz kérdése! Ezért szokatlanul alacsony havi törlesztőrészlet mellett igyekszünk biztosítani kezeléseinket. A kezelés első évében havi 90-130 ezer forint fizetendő, ami a készülék és az állítások árát is tartalmazza. Ezt követően alkalmanként 45 ezer forintos költséggel kell számolni. Egyszerű kezeléseknél ennél is alacsonyabb költségre számíthat. A kezelés megtervezését követően pontos árajánlatot adunk, hogy a kiadások Ön számára jól tervezhetőek legyenek.

Tekintse meg árainkat!

5 466 Google értékelés alapján

1072 Budapest, Rákóczi út 4. IV. emelet (32-es kapucsengő)