aaaa

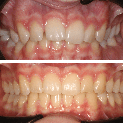
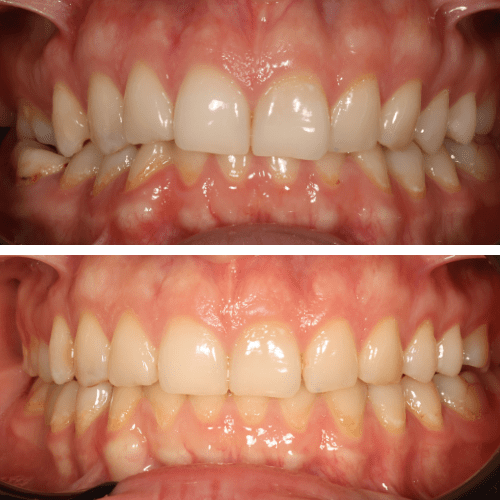
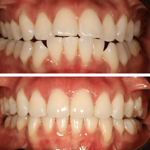
Láthatatlan fogszabályozás

Sok pácienst az tart vissza a fogszabályozástól, hogy nem szeretnének látható, rögzített készüléket viselni. Bár ez már egyre kevesebbek számára visszatartó erő, hiszen a rögzített készülékekből is léteznek esztétikus verziók, még ezek is feltűnnek némileg mosolygásnál, nehezíti az étkezést és a fogak tisztítását. A fentiek miatt napjainkban már igen elterjedtek az úgynevezett „aligneres” kezelések, melyet más szóval szoktak láthatatlan fogszabályozónak, invisalign-nak vagy sínes fogszabályozónak is nevezni.
Láthatatlan fogszabályozás
Az aligneres kezelés lényege, hogy a páciensünk fogairól készült minta alapján digitális technológiával egy vékony és teljesen átlátszó anyagból készítünk a fogakra pontosan illeszkedő síneket. Sínes fogszabályozás lehetséges felnőtt, vagy akár gyermekkorban is. A sínek a megfelelő pontokon fejtenek ki erőt a fogakra, így fokozatosan mozgatva őket a sín viselése során. Nagyjából 2 hetente kell váltani az újabb sínre (ezért mindig egyszerre többet adunk át), mely még tovább mozdítja a fogakat a kívánt irányba. A síneket napi 22 órát kell viselni annak érdekében, hogy kifejthessék a hatásukat, fogmosáskor és étkezéskor azonban el kell távolítani őket a szájból.
Láthatatlan fogszabályozó
Ezek a láthatatlan fogszabályozók valóban csak az avatott szemek számára tűnhetnek fel, megjelenésük annyira diszkrét, hogy nevetés közben és fotókon is alig-alig észrevehető a jelenlétük. Ezen kívül igen nagy előnyük, hogy fogmosás közben nem kell (nem is lehet) viselni őket, így páciensünk gyakorlatilag a megszokott módon végezheti a szájápolást, anélkül, hogy egy sor új eszköz használatát kellene elsajátítania és mindezeket napközben magánál tartania. A sínes fogszabályozásnak a számtalan előnyén kívül megvannak a maga szakmai korlátai is. Elsősorban azokban az esetekben szoktuk javasolni, amikor a fogak kisebb mértékű korrekcióra szorulnak, rendszerint esztétikai szempontból. Ez lehet torlódás, résesség a fogak közt, vagy akár előre álló fogak. A nagyobb fokú helyzeti rendellenességek, harapási problémák, vagy az állcsontok fejlődési rendellenességei esetén a rögzített fogszabályozó biztosít hatékony megoldást.
Láthatatlan fogszabályozó
Foglaljon időpontot most!

Ha hasonló problémával kűzd, jöjjön el hozzánk egy konzultációra, ahol szakorvosunk részletesen kivizsgálja helyzetét! A diagnózis felállítását követően személyre szabott kezelési tervet készítünk Önnek!

Időpontot foglalok!

Ismerje meg munkafolyamatainkat
Borbély Fogászat csapatmegbeszélés

Ezt tesszük a közös siker érdekében!

Részletfizetési lehetőség

A Dr. Borbély Fogszabályozási Stúdióban szeretnénk minél többek számára elérhetővé tenni azt az életminőségbeli változást, melyet a pácienseink a kezelés hatására megélhetnek. A felszabadult mosoly ne legyen pénz kérdése! Ezért havi törlesztő részlet fizetése mellett is elérhetővé tesszük a kezeléseinket. Láthatatlan sínes fogszabályozók esetén, részletfizetési konstrukciónkban a készülék költségének nagyságrendileg a fele indulórészletként fizetendő. Ennek összege a probléma súlyosságától függ, jellemzően 250 – 850 ezer forint. A készülék árának másik fele havi egyenletes részletekben is fizethető, 3-9 hónapon keresztül. A kontrollok, állítások díja 20 000 forint. A kezelés megtervezését követően pontos árajánlatot adunk, hogy a kiadások Ön számára jól tervezhetőek legyenek.

Tekintse meg árainkat!

5 466 Google értékelés alapján

1072 Budapest, Rákóczi út 4. IV. emelet (32-es kapucsengő)